张开你的嘴,让我看清你的心
心脏病,是威胁我们人类生命健康的头号杀手,经胸超声心动图(TTE),为心脏疾病检查中一项受到临床认可的重要检查项目。但是临床工作中仍然有部分患者因为肥胖、肺部疾病、胸廓畸形等因素的影响TTE不能获得满意图像使诊断受到限制。

而经食道超声心动图就解决了这个问题

什么是经食道超声心动图检查?
经食道超声心动图(TEE)就是平常人们所说的食道心脏彩超,是将超声探头置入食道内,探头位于食道或胃底内,从心脏的后方向前近距离探查其深部结构。
但也有患者朋友遇到过,自己明明已经做了“经胸心脏超声”检查,为什么还要做另外一种叫做“经食道心脏超声”的检查?对此有的患者很困惑。今天我将通过一个病例来为大家解答,什么是经食道心脏超声检查,为什么要做经食道心脏超声?
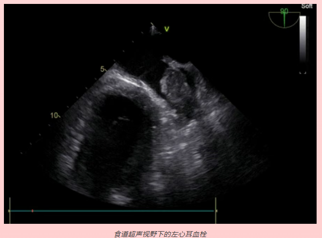
王阿姨,女性,59岁,因心悸不适3年,再次发作3天来我院就诊。门诊检查心电图提示:心房颤动,遂收治入院。完善相关检查后,心内科徐闽医生与患者协商,拟行“房颤射频消融术”。心内科徐医生告诉患者:“手术前还需要再完善一个检查---经食道心脏超声检查,了解一下您心脏内部有没有血栓,因为房颤时,血液容易在心脏内淤滞、沉积而产生血栓,当血栓脱落后,随着血液流动可导致多器官栓塞,出现如头痛、心绞痛、腹痛、腰痛等危险的并发症;而我们则需要经食道心脏超声检查来明确您心脏内有无血栓,在确保安全的前提下才可以给您做射频消融手术”。患者经过食道彩超检查没有发现血栓后,心内科医生给患者成功进行了射频消融,王阿姨说我的心再也不乱跳了,术后随访复查原先明显增大的心脏恢复了正常。
TEE属于侵入性检查,检查方法及安全性与胃镜相似。为了进一步保障检查的安全性,一般不做常规的普查,操作人员一般由经过特殊训练的医师组成。经食道心脏超声检查需要要严格掌握适应症、禁忌症。病情严重者需由临床医师或有关人员陪同。

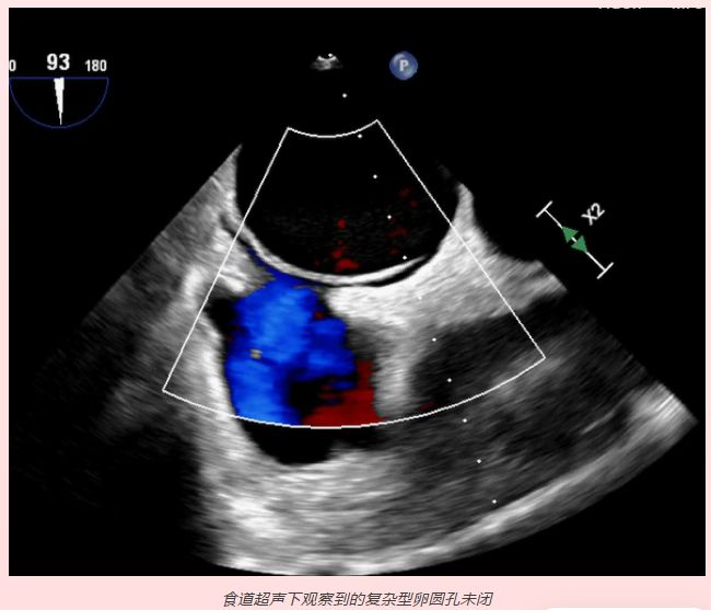
1.房间隔缺损(包括卵圆孔未闭)常规经胸超声不能确诊的病例,尤其对于怀疑有右向左分流导致脑卒中、脑梗塞的患者。
2.左心耳和左房的血栓,尤其是左心耳的血栓,房颤患者做射频消融术前做经食管超声心动图了解左心房及左心耳是否有血栓形成,可以减少手术并发症。
3.瓣膜置换术后的患者,可以评估人工瓣膜的功能,有无血栓、血管翳的形成及卡瓣的情况。
4.心脏瓣膜病、感染性心内膜炎、心脏占位性病变及心脏介入手术等,如瓣膜狭窄、关闭不全、脱垂及腱索断裂、心尖血栓、心房粘液瘤等。
5.其他需要术中和术后即刻监测评估心脏结构功能的情况。



哪些人群不适合做食道超声?
1.食道变异或可疑的食道憩室,严重颈关节炎,口咽部的病变,解剖上的变形,重症肌无力都可能增加检查难度。
2.重症心力衰竭(LVEF<40%)、重症心律失常(HR>150次/分)、易出血的患者。
3.高血压患者(收缩压>180mmHg,舒张压>120mmHg)。
4.体质极度虚弱、持续高热不退者。
5.有食道静脉曲张、食道狭窄、食道憩室或食道癌者;
6.剧烈胸痛、胸闷或剧烈咳嗽症状不能缓解;
7.血压过高、过低者;
8.心肌梗死急性期;
9.活动性上消化道出血;
10.有食道手术或纵隔放射治疗史者。
那食道超声是怎样做的呢?
检查前禁食禁水6-8小时,检查后禁食禁水2小时,以防误吸的发生;检查前消除口腔和食道内活动异物,比如可以取下的假牙、牙套,防止脱落掉入气管造成窒息;检查过程一般10-15分钟;为了减少检查过程中的不适感,医生会提前给患者含服利多卡因胶浆或者丁卡因胶浆等局部粘膜麻醉剂;检查时心情放松,尽量保持平静呼吸,配合检查。检查中需要配合医生做吞咽动作,像吞面条一样吞咽,利于探头顺利进入食道。在检查过程中请您尽可能的放松,保持用鼻子深呼吸。检查完毕后喉咙可能有点不舒服,但是请不要用力咳嗽,以免损伤粘膜。
经食道超声心动图检查是一种创伤性比较轻微的检查,除咽部不适或轻度恶心外,一般没有不良反应。个别患者可能会出现较严重并发症,如麻醉剂过敏误吸致窒息、食道穿孔出血、急性心衰、心律失常等。
近年来经食道超声心动图在临床领域越来越多的应用,对心血管疾病的诊断、治疗及疗效评价产生了巨大影响。
(作者:姚易兰 主治医师 四川省宜宾市第一人民医院 超声科)
文章来源:中国超声医学
为进一步提升心血管疾病精准诊疗水平,我院超声科正式开展经食道超声心动图(TEE)联合右心造影检查,并特邀武汉大学中南医院心血管超声科王斌教授团队每月定期来院坐诊指导!
1.检查时间安排
每月第二周、第四周的周四上午
首期时间:3月26日(周四)正式开诊
请有需要的患者提前预约,名额有限,先到先得!
2.专家团队简介
王斌教授

武汉大学中南医院心血管病医院副院长
武汉大学第二临床学院医学影像学系副主任
湖北省心血管病介入诊疗临床医学研究中心副主任
超声医学教研室主任,心血管超声医学科主任
学术任职:国家心血管病专家委员会先天性心脏病专业委员会(NSCHD)委员
亚洲心脏瓣膜病学会(AAHVD)中国分会委员会委员
亚太结构性心脏病青年俱乐部(AHSH)银晶会员
中国研究型医院学会心脏瓣膜病专委会委员
中国超声心动图学会理事,青年组副组长
海峡两岸医药卫生协会超声医学分会专业委员会委员
湖北省医学会胸心外科分会结构性心脏病专业委员会超声学分会 主任委员
湖北省结构性心脏病介入技术质控中心第一届专业委员会 副主任委员
湖北省终末期心力衰竭管理技术协作组 副主委
湖北省终末期心力衰竭疾病管理技术协作组 副主任委员
主要从事心血管疾病的超声诊断工作及结构性心脏病介入治疗,负责结构性心脏病介入治疗全国带教,完成全球首例经鼻咽食道超声引导左心耳封堵。
近年来主持及参与国家省部级科研项目15项。共发表科研学术论文80余篇,其中SCI论文50余篇,牵头撰写行业标准1项,参编著作11部,主编1部,副主编2部。
何俊教授

副主任医师 武汉大学中南医院心血管超声医学科
从事心血管超声工作十余年,掌握各种心脏超声新技术,善于各类结构性心脏病介入术中超声监护及心外科术中经食管超声监护。作为LIWEN术式全国带教,帮助全国二十余家大型三甲医院开展LIWEN术式。主持武汉市卫健委科研项目1项,参与多项省级、市级科研项目,参编4本专业书籍,发表中文核心期刊论文及SCI论文十余篇。
3.预约方式
预约科室:超声科(门诊3楼 )
电话预约:0712-5275606
现场预约:超声科分诊台
4.检查流程
心内科门诊、神经内科门诊或二者住院部开具申请单
缴费后至超声科登记取号
报告由何俊教授审核后出具,做完当天上午出结果
